Concepto
Es la eliminación de una lesión periapical pero conservando el diente causal, y consta de 3 técnicas básicas que son:
1. Legrado Apical
2. Apicectomía
3. Obturación Retrógrada
Indicaciones
1. Cirugía Correctora por errores de técnica
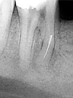
- Presencia de instrumentos rotos dentro del conducto
- Perforación de la raíz y Falsa vía
- Fracaso de la Endodoncia
- Obturación radicular incorrecta
- Dientes con una gran reconstrucción, con perno colado
- Sobreinstrumentación y Sobreobturación
- Patología periapical persistente
Instrumento roto dentro del conducto Sobreobturación
2. Indicaciones Anatómicas
- Dens in dente
- Gran curva del ápice
- Anomalías radiculares
- Extrucción de ápice
- Peligro de fractura dentaria
Dens in dente Gran curva del ápice
3. Traumatismo Dentario
4. Quiste
Contraindicaciones
- Paciente con boca séptica
- Abscesos o procesos en fase aguda
- Estomatitis ulcerosa
- Enfermedad periodontal grave
- Lesión periapical extendida a los 2/3 de la raíz o la bifurcación
- Reabsorción ósea importante por lesión periodontal y apical combinada
- Dificultad de acceso en la zona apical
- Proximidad peligrosa de estructura anatómica
- Cuando no es posible la restauración del diente intervenido
- Consideraciones estéticas
- Enfermedades Sistémicas
Absceso en Fase Aguda
Técnica Quirúrgica
Realizar profilaxis antibiótica con Amoxicilina 3 gr 1 hora antes y 1,5 gr 6 horas después
- Anestesia
- Incisión (encía adherida)
- Levantamiento del colgajo
- Osteotomía
- Curetaje Periapical
- Apicectomía
- Obturación Retrógrada
- Limpieza, irrigación y legrado óseo
- Sutura
Biopsia
Su objetivo es establecer un diagnóstico definitivo de la lesión extirpada, mediante el análisis realizado por un patólogo.
Complicaciones
INTRA-OPERATORIAS
- Hemorragia
- Sección o lesión nerviosa
- Lesión del colgajo mucoso
POST-OPERATORIAS
- Infección
- Dehiscencia de la herida
- Secuestros óseos
- Necrosis pulpar de los dientes vecinos
- Movilidad dentaria progresiva
- Recidiva de la patología periapical
Cuidados Post-operatorios
- Compresas
- Uso de colutorios
- Dieta blanda sin irritantes
- No ingerir bebidas alcohólicas
- No fumar
- Administración de medicación a horario
- Retiro de puntos a los 7 días
El pronóstico de la cirugía apical depende de muchos factores:
- Sellado de los conductos por la endodoncia
- Tamaño de la lesión periapical
- Presencia de lesiones periodontales acompañantes
- Número de raíces del diente afectado
Realización: Dr. Carlos A. Martínez




.jpg)








A mi hija le acaban de hacer una intervención de este tipo, me gustaría saber si duele mucho pq he leído que duele y a ella se la hicieron hace dos días y la verdad es que de momento no le duele
ResponderEliminarMuchas gracias